Tratamento do ronco
Você sabia que o dentista pode te ajudar a respirar melhor durante o sono?
O que é ronco?
O ronco é o som frequentemente alto ou desagradável que pode ocorrer enquanto você dorme. O ronco ocorre quando, ao respirar, o fluxo de ar faz vibrar os tecidos da parte de trás da garganta. O ronco é mais frequente quando você inspira e pode vir pelo nariz, pela boca ou uma combinação dos dois e pode ocorrer durante qualquer fase do sono.
Roncar é comum?
Cerca 50% das pessoas roncam em algum momento de suas vidas! O ronco é mais comum em homens, embora muitas mulheres também ronquem (especialmente na menopausa). O ronco se torna mais comum à medida que você envelhece. Cerca de 40% dos homens adultos e 24% das mulheres adultas roncam com frequência.
Por que às vezes ronco mais?
Dormir de costas pode aumentar a probabilidade de roncar. O uso de álcool ou outros depressores também aumentam frequência e intensidade do ronco. Congestão causada por um resfriado ou alergias também podem fazer com que você ronque.
Quais os problemas relacionados ao ronco?
O ronco pode ser um incômodo para o seu ou sua parceira e para qualquer pessoa que esteja por perto! Você pode até roncar alto o suficiente para acordar. Porém, em muitos casos, as pessoas não percebem que roncam. Ronco leve pode não atrapalhar a qualidade geral do sono. Já o ronco pesado pode estar associado a apneia obstrutiva do sono, um distúrbio grave do sono e um fator de risco para doenças cardíacas, derrame, diabetes e muitos outros problemas de saúde.
Qual a relação entre ronco e apneia obstrutiva do sono?
O ronco pode ser um sintoma da apneia obstrutiva do sono, mas nem todas as pessoas que roncam têm o distúrbio do sono. Cerca de 95% dos pacientes portadores de apneia roncam. O ronco é a primeira suspeita da apneia obstrutiva do sono e não deve ser negligenciado. A apneia obstrutiva do sono é um distúrbio grave que faz com que você pare de respirar temporariamente durante o sono. Se você se cansa regularmente durante o dia, embora tenha dormido o suficiente, ou se o seu ronco for associado a sons de engasgo ou respiração ofegante, você pode estar com apneia obstrutiva do sono.
Como posso saber se ronco?
Seu ou sua parceira reclama que você ronca regularmente? Você ganhou peso recentemente ou parou de se exercitar? Você tem familiares que roncam? Se você respondeu sim a alguma dessas perguntas, você ronca ou corre o risco de roncar. Você deve buscar tratamento se roncar regularmente ou muito alto. Se você também emitir sons de engasgo ou respiração ofegante ao roncar, você pode estar com apneia obstrutiva do sono e deverá fazer uma polissonografia (exame do sono) para diagnóstico. Atualmente, há aplicativos para IOS e Android que podem ajudar na verificação do ronco (SnoreLab, por exemplo).
Qual o tratamento para o ronco?
Se o ronco não estiver associado com apneia obstrutiva do sono, você pode introduzir mudanças comportamentais (perda de peso, alterar posição de dormir, evitar ingestão de bebidas alcoólicas e certas medicações) e utilizar um aparelho intraoral para tratar o ronco.
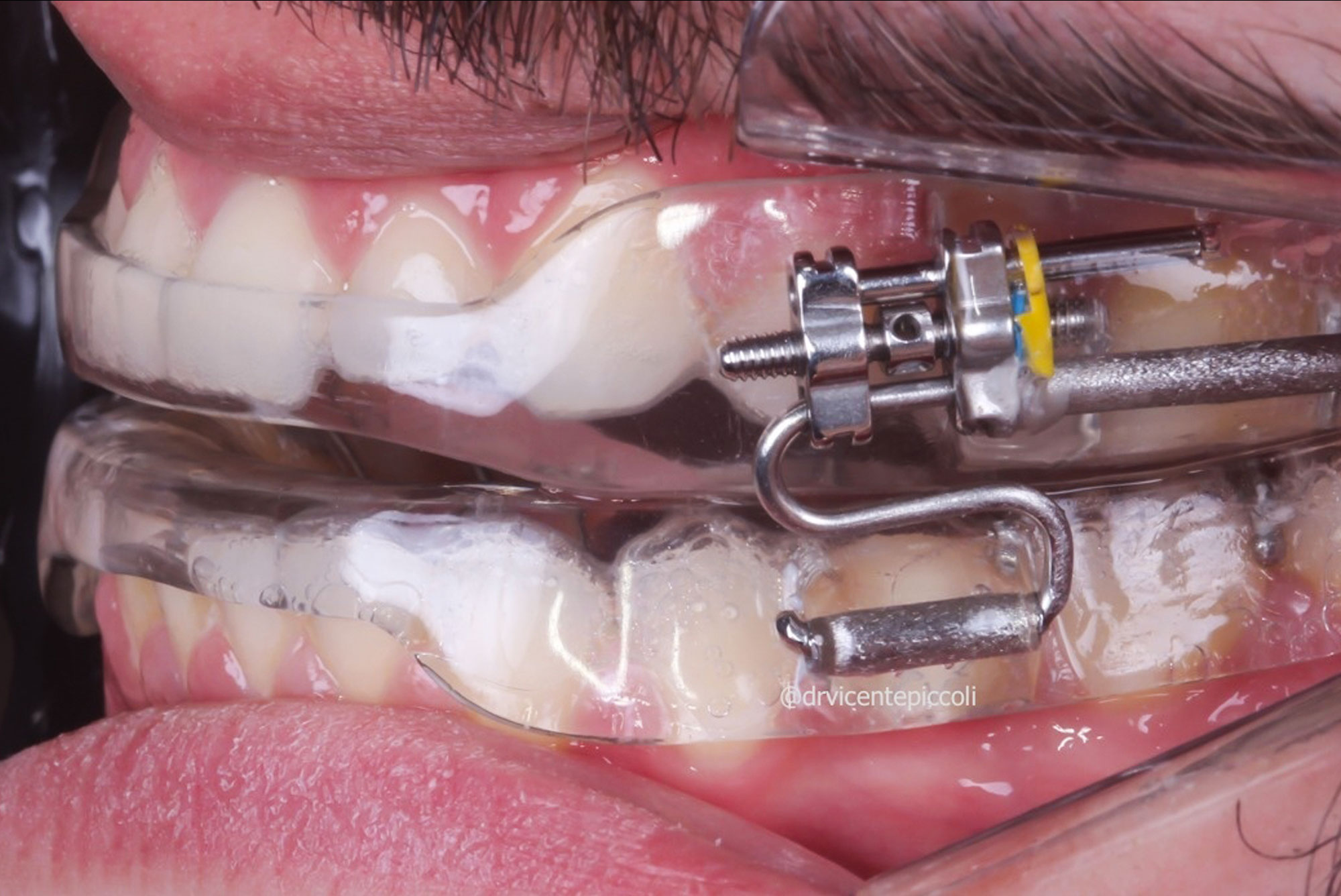
Como funciona o aparelho intraoral para tratamento do ronco?
O aparelho intraoral é um pequeno dispositivo que se encaixa sobre os dentes enquanto você dorme, impedindo ou diminuindo o ronco. Se assemelha a um protetor bucal esportivo ou a um aparelho para bruxismo. O dispositivo de avanço mandibular projeta a mandíbula para frente, aumentando o volume do espaço aéreo, permitindo que o paciente respire melhor durante o sono. Ele é usado durante o sono e é de fácil instalação e remoção pelo próprio usuário. Existem muitos tipos de aparelhos para o ronco, nem todos com a mesma eficácia. Procure um dentista com formação em odontologia do sono para instalar o aparelho intraoral para o ronco em você. O tratamento deve ser monitorado e os retornos devem ser estabelecidos pelo dentista.
O aparelho intraoral para ronco funciona?
Sim! Os aparelhos intraorais de avanço mandibular são uma opção sólida de tratamento para ronco. É importante realizar o tratamento com um dentista com formação em Odontologia do sono. A melhora do ronco pode ser avaliada por meio de apps (SnoreLab), exames laboratoriais ou o relato do seu cônjuge. O resultado do tratamento varia entre pacientes.
Como é a consulta para instalar o aparelho intraoral para o ronco?
O aparelho para o ronco deve sempre ser confeccionado de maneira individualizada! Em média, são necessárias 4 a 5 consultas para o tratamento. Mas, já na segunda consulta o aparelho é instalado. Você deve voltar ao consultório para a titulação (ativação do aparelho) até atingir a quantidade ideal de avanço mandibular e obtenção do melhor resultado.
- 1ª consulta: anamnese, avaliação clínica e de exames complementares e moldagens das arcadas dentárias. Após essa consulta, seu molde é enviado para confecção do aparelho pelo técnico de laboratório.
- 2ª consulta: Instalação do aparelho para ronco e orientações (em média 15 a 20 dias após a primeira consulta).
- Retornos mensais para ajustes do aparelho e controle da evolução do tratamento (4 consultas, em média).
- Controle anual do tratamento.
Quanto custa o aparelho intraoral para o ronco?
O custo do aparelho pode variar entre profissionais a depender de inúmeros fatores. É importante saber que o investimento inclui o tratamento completo do ronco, ou seja, a aquisição do aparelho e as consultas de moldagem, instalação e todos os ajustes necessários. Fique tranquilo, o investimento no tratamento do ronco com aparelho intraoral pode ser flexibilizado para se ajustar ao seu orçamento. Na consulta inicial o Dr. Vicente explica os honorários e ajusta-se a forma de pagamento. E, lembre-se, dormir bem não tem preço!
Quais os tipos de aparelho para ronco?
Os aparelhos intraorais para ronco devem seguir inúmeros requisitos para serem confiáveis e duráveis, com o mínimo de efeitos colaterais. A eficácia desses dispositivos está fundamentada em artigos científicos. No entanto, há muitos aparelhos ofertados no mercado, cuidado com aparelhos ineficientes e/ou pouco duráveis! Consulte um dentista com formação em odontologia do sono para auxiliar na escolha do melhor tipo de aparelho para você.
O aparelho do ronco incomoda?
O aparelho para o ronco se assemelha a placas de proteção bucal desportiva ou aparelhos para bruxismo. Como ele promove um avanço da mandíbula (maxilar inferior) e se acomoda nos dentes superiores e inferiores, os pacientes precisam de alguns dias para se acostumarem. Nos primeiros dias, ao usar o aparelho, é comum salivar mais e sentir algum desconforto na articulação da mandíbula ou nos dentes. Não desmotive no início, esse período de adaptação passa e depois fica muito fácil utilizar o aparelho.
Fotos do aparelho
Caso clínico
Paciente do sexo feminino, 63 anos.
Queixa principal: RONCO alto e constante.
Tratamento: utilização de aparelho intraoral de avanço mandibular.
Resultado: redução significativa do ronco, avaliado por meio do app SnoreLab e do relato da paciente e familiares.
Sem aparelho
Com aparelho
Resultado App SnoreLab
Sem aparelho:
Ronco intenso e frequente.
Com aparelho:
Redução significativa da intensidade e frequência do ronco.
Faça sua avaliação
Se você deseja reduzir o seu ronco e melhorar sua qualidade de sono, agende uma avaliação.
Depoimentos no Google
Ananda T.
O dr Vicente é o melhor ortodontista que existe. É extremamente preocupado, atencioso e sempre faz o melhor que pode para ajudar o paciente.
Meu caso é bem complexo e envolve erro médico em cirurgia ortognatica. Graças a ele estou tendo o acompanhamento da forma correta, já que ele tem muita experiência em cuidados pré e pós cirúrgicos. Desde a primeira consulta ele me explicou a gravidade do meu problema e me orientou a como tratar da forma correta.
Além disso, o atendimento na clinica é super humanizado e divertido, vale a pena conhecer :)
Flaviane S.
Super recomendo. Foi super transparente sobre o tratamento cirúrgico de uma bucomaxilofacial, o que me fez decidir encarar a buco sem medo. Muito detalhista e dedicado ao resultado e principalmente ao bem estar do paciente. O resultado foi maravilhoso, a cirurgia bucomaxilofacial é um procedimento muito invasivo e o nosso foi incrível, tudo deu certo como o planejamento.
Roselene B.
Ótima experiência. Desde o primeiro contato, sempre fui atendida com delicadeza e educação. Profissionais muito especiais, explicam todos os procedimentos e alternativas. Com 62 anos, só coloquei aparelho porque tive este atendimento. Agradeço e recomendo.
Bernardete G.
Já faz alguns anos que sofro de apneia do sono. Depois de muitos médicos com diferentes opiniões, resolvi procurar ajuda e para minha sorte meu filho que é dentista e faz especialização em buco maxilo me encaminhou ao Dr Vicente Piccoli. Após a primeira consulta com todas informações muito bem explicadas pelo Dr Vicente, resolvi apostar nesse caminho. Estou usando o aparelho do ronco desde agosto deste ano e estou me sentindo muito bem! Graças a Deus!!! Acordava cansada e passava os dias com muita sonolência. O ronco praticamente sumiu tb! O resultado está sendo excelente e recomendo muito o referido procedimento com este profissional maravilhoso e competente!!
Dai M.
Maravilhoso!!! Profissional, local, recepção!!! Tudo impecável! Dr Vicente além de um baita profissional e um excelente ser humano!!! Sensível e cuidadoso!
Christine B.
Então, difícil traduzir em palavras, todo o ganho em ter a competência, profissionalismo e excelência a cada atendimento recebido a sortuda da minha filha Eduarda com Dr. Vicente Piccoli, digo que quando se tem o dom empatia é pouco. És merecedor de todas as suas conquistas. Trago num todo o ambiente aconchegante e impecável de seu consultório, a gentileza somada com simpatia e proatividade da ASB Greyce. Parabéns!
Edna M.
Profissionais excelentes, competentes, atendimento humanizado e personalizado, consultório agradável e a certeza de estar nas melhores mãos.
Fran C.
O Dr. Vicente Piccoli foi um anjo em minha vida, me atendeu em um momento em que eu estava MUITO preocupada e angustiada e antes mesmo de ser um profissional maravilhoso e competente, ele foi humano e um amor de pessoa. Prestativo, muito querido, tira todas as dúvidas com paciência e é um super profissional. Estou muito feliz porque consegui resolver o meu problema com tranquilidade.
Ingrid K.
Sensacional!!! Ameeei! Trabalho impecável! Meus dentes ficaram perfeitos! Atendimento excelente.
Brenda S.
Super recomendo o trabalho do Dr Vicente. O conheci em um momento delicado pra mim, devido a uma cirurgia ortognática e algumas complicações no tratamento ortodôntico anterior. Fui muito bem acolhida e estou tendo solução para o meu caso. O atendimento é excelente, nunca imaginei que fosse escutar Dream Theater nas consultas! Haha! Ele é bastante meticuloso, atento aos detalhes. É uma pessoa com energia boa que te coloca pra cima. Dispõe de excelentes tecnologias no consultório e experiência com casos difíceis. Agradeço a equipe.
Giu B.
Atendimento espetacular, qualidade total desde a chegada até a saída, em todas as consultas! Ah, entre as consultas, inclusive! :)
